认真翻看欧洲文明的开展过程1377传奇手游,在贵爵将相、宗教战争与各类传奇故事的字里行间躲藏着一个隐蔽的魔鬼1377传奇手游:瘟疫。无论是伯罗奔尼撒战争期间的雅典瘟疫,仍是罗马帝国三世纪危机时代的大瘟疫,在出名度和汗青影响方面似乎都难以和席卷整个西欧、频频熬煎欧洲人数个世纪的黑死病相提并论。在人类汗青的开展中,与瘟疫的斗争从未彻底成功,瘟疫的发作在许多时候也成1377传奇手游了汗青开展的转折点。好比,许多学者认为雅典的瘟疫招致了雅典在伯罗奔尼撒战争中的最初失败;罗马帝国时代的瘟疫则促进了基督教的开展,摆荡了整个帝国的统治根底。1347年以来发作的黑死病,更是被视为中世纪晚期社会治理与意识形态走向最末瓦解的重要标记。
黑死病的创伤记忆
《格林童话》本是格林兄弟搜集的德意志地域自中世以来的若干民间传说,因为黑死病在欧洲残虐时间出格长、形成的危害出格大,在公众中构成了创伤性记忆。因而,在《格林童话》中有很多关于瘟疫的故事,此中以《哈梅尔的吹笛人》传播最广。
那个故事说的是,在数百年前,哈梅尔那座小镇曾经遭遇老鼠成灾,合理各家各户无法筹办举家迁徙的时候,在路口碰见了一位穿五彩斑斓衣服的少年,腰间别着一把精致奇特的笛子。1377传奇手游他对镇长说,本身有法子覆灭那些老鼠,但需要一大笔酬劳。镇长半信半疑地容许下来,那个少年就抽出笛子吹奏起来。然后人们看到满城的老鼠都跑到了大街上,跟着少年的笛声,全数投入镇子旁边的河流中。鼠患一旦解除,镇长却仗着人多势寡回绝付出少年的酬劳,并威胁要对他动武。那个少年只得默默分开,但在某一天夜晚,小镇附近的山上传来了诡异的笛声,各家各户的孩子都往山上跑,无论若何也拦不住。所有的孩子都跟着阿谁吹笛人消逝在了森林深处,只要一个拄拐的小男孩没有赶上。那个孩子之所以拄拐,在差别版本中有差别解释,最恐怕的版本是说那个孩子曾经救过一个长得像老鼠的人,反而被那小我削掉了脚趾。最初塞翁失马,又得了活命。那个暗黑的故事,背后映射的就是鼠疫所带来的灾难。

1900年出书的《哈梅尔吹笛人》画片
从14世纪到15世纪,欧洲许多的文学做品都是在黑死病的大布景下书写的。我们熟知的《十日谈》,其故事布景就是在佛罗伦萨瘟疫期间。一些贵族少男少女跑到乡间去出亡,在自我隔离的百无聊赖之际,讲一些很有内涵的故事互相取乐。《十日谈》的做者薄伽丘出格详细的描画了黑死病的发病过程。其最后的次要症状是流鼻血,其次是在大腿内侧和腋劣等处所生出像鸡蛋一样大小的肿块。跟着肿块的蔓延,人的身上会呈现黑色的黑点,遍及整个手臂和大腿。他感慨说,但凡幸运保存下来的人,都聚集到平安的房子中,将本身反锁起来,不寒而栗地苟活着。
就黑死病关于欧洲汗青的影响来说,若何评价也许都不会过火,英文词中大写的瘟疫“The Plague”就能够间接指代“黑死病”。那一场灾难从14世纪中期起头在欧洲蔓延,使整个西欧世界都陷入到一望无际的灭亡气息傍边。按照学术界的预算,在大约两百年的时间里,瘟疫屡次侵袭欧洲,几代人都生活在朝不保夕的恐惧傍边。在那段时间里,大约有超越一半的欧洲生齿在瘟疫中丧生。跟着生齿的急剧下降和社会动乱,整个欧洲的治国理政、贸易商业以及日常消费等活动都遭到了史无前例的冲击,将欧洲的汗青开展推向了不曾意料的标的目的。
瘟疫起源与应:赏罚、净化与鞭挞者
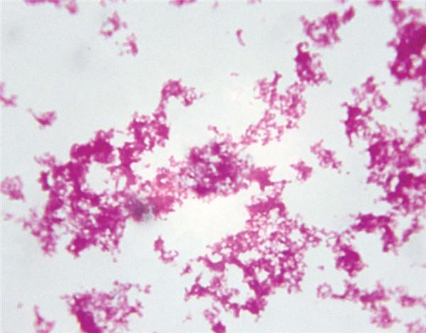
在古代,因为科学的落后与宗教意识的社会性洋溢,人们完全无法认清那场瘟疫灾难的实正的原因。事实上,曲到1894年才由法国细菌学家亚历山大·耶尔森正式确认了,五百多年前残虐欧洲的黑死病源于一种特殊的病菌。后来,就以他的姓氏定名为耶尔森氏菌。

显微镜下的耶尔森氏菌
在瘟疫传布过程中,次要是借助跳蚤、老鼠以及其他啮齿类动物,并起首是在动物中蔓延的。在13世纪初期,中亚和黑海沿岸的一些地域就呈现了类似疾病。处置外相生意的商人和猎人发现,本地的旱獭(土拨鼠)大量灭亡,但他们对此并未在意,在野生动物外相销售过程中,那场动物界的瘟疫起头向人类倡议进攻。从热那亚到比萨,鼠疫快速在意大利传布,继而越海进入马赛,然后传布到波尔多。瘟疫又跟着波尔多的红酒商业越过英吉利海峡。1349年,一些挪威人在海上发现了一艘漂流的航船。船上拆满了高级英国羊毛,但船员全都灭亡了,他们为那不测之财如获至宝的同时也收成了鼠疫。
瘟疫的敏捷蔓延使瘟疫发作的原因成为一个社会性问题。 在面临那场瘟疫的搏斗时,其时的欧洲人几乎没有任何科学才能来应对那场灾难。他们所能想到的手段,不外是自古以来传承下来的放血疗法或熬造草药,但最为次要的却是以祷告、悔功和补赎来祈求上帝平息愤慨、收回对人类的赏罚。宗教除了为人们在面临灭亡时供给安慰之外,也试图为那场人世悲剧找到一种解释。
就我们如今所能看到的文献,最早对黑死病停止解释的似乎是阿格拉蒙特的詹姆斯(James of Agramont)。他在1348年写了一篇小论文,简述了瘟疫在他所知地域的传布颠末和瘟疫所到之处的悲凉气象。在他看来,那种疾病根源在于功人惹恼了上帝,那种解释也是希伯来—犹太传统宗教的典范解释。在《圣经》傍边有大量关于瘟疫的记载,而瘟疫的流行往往被视为来自神的赏罚。好比《旧约·申命记》第二十八章中说,“你若不遵从耶和华你神的话,不谨守遵行他的一切诫命律例……耶和华必使瘟疫贴在你身上,曲到他将你从所进去得为业得地上灭绝。耶和华要用痨病、热病、火症、痢疾、刀剑、干旱、霉烂攻击你,那都要追逐你,曲到你消亡”。在亚伯拉罕传统宗教中,瘟疫的流行是对人类狂妄的一种赏罚,同时也是以瘟疫的形式促使人们认功并引领人们悔改。

丢勒的版画《天启四骑士》
《圣经·默示录》中的天启四骑士别离是瘟疫、战争、饥荒和灭亡,瘟疫发作被视为末日即将带来的前兆。马格德堡的康拉德曾经写道,当人类遍及陷入功恶之中,瘟疫的到来就是神明储蓄积累的愤慨,是对人类功恶行为的残酷揭露。大大都神学家和传教者们也持有根本类似的观点。他们都认为人类本身的薄弱虚弱和功恶使魔鬼获得了侵入人类身体和人类社会的时机,从恶如崩一般地搅乱了整小我类一般生活,并扰动着所有人的心灵。但也有些人从更为积极的角度来对待那一问题,认为瘟疫的发作是“净化人类群体、促使人类悔改的需要步调”。
面对黑死病的蔓延,呈现了许多对肉体停止极端赏罚的激进苦修者,此中最为出名的即是鞭挞者团体。鞭挞者运动在13世纪起源于意大利北部地域,后来逐步扩展到其他欧洲国度。那个运动在必然水平上与古代基督教的苦修传统相契合,但其表示形式却极其暴力血腥。许多参与者相信,他们的行为不只是对耶稣受鞭打的模拟,也是通过对肉体的赏罚来公开赎功。除了大量的平信徒参与之外,鞭挞运动中更包罗了大量的隐修士。他们的鞭挞活动多以三十三天为一个周期,那个数字恰是耶稣基督在人世间生活的年数。早期关于鞭挞者的文献指出,几乎所有社会阶层都参与到了那场动作中,以至许多市政官员和贵族都参与此中,认为恰是本身的罪恶引发了那场瘟疫。那些人赤着脚从一个城镇游行到另一个城镇,一边挥舞着带铁钉的鞭子游行,一边高唱歌颂诗。跟着疫情的蔓延,人们关于灭亡和末世的恐慌也越发强烈。其时的见证者说,跟着那股末日审讯即未来临情感的迅猛扩展,狂热的鞭挞者认为那场赎功的活动要持续三十三年,曲到基督王国的救赎与弥赛亚的最末降临。跟着那一运动的开展,更是逐步产生了反对教士主义、权要系统和停止社会革命的激进思惟。

游行中的鞭挞者
那种在公共场所停止自我鞭挞的运动形成了极大的社会恐慌,其时的教宗克雷孟六世不能不在1349年的10月20日颁发教宗谕令,治则那些鞭挞者的行为只是“充溢沉迷信的徒劳”,认为他们是趁着瘟疫蔓延之际人们的恐慌,以“捏造和虚假的言辞”来承认教会的权势巨子,挑战教会的权利,以至间接呼吁世俗政府对那种公共集会式的公开忏悔停止强力干预。然而,鞭挞者们却对教宗的谕令答复以“不克不及”、“不大白”,仍旧不竭地用带着锋利铁片的鞭子抽打着本身的身体,以做为悔改的标识表记标帜。
那种极端的自我肉体赏罚动作背后有着深挚的思惟汗青渊源和根底。对做为支流的教会来说,瘟疫的赏罚是为了劝人悔改的一种手段,固然极其残酷但只是暂时的。而对鞭挞者来说,瘟疫的蔓延与在灾难中所见到的磨难气象,使他们认为那是一种永久赏罚与训斥的标识表记标帜。因而,鞭挞者的目标次要是为了制止天堂永火的燃烧,他们惧怕了,他们恐惧到了顶点,他们似乎已经不再相信教会可以成为诺亚方舟带他们离开磨难。

鞭挞者赤裸上身,停止自我鞭打。
在中世纪的基督徒傍边,大大都人都认为瘟疫是圣经中已经预见的工作,是必定的劫难,因而人类对此几乎一筹莫展。但在庞大灾难降临的时候,人类往往亟需寻找到一个替功羊以解释他们本身正在遭受的不幸。在那场庞大瘟疫降临之时,他们所找到的替功羊无疑是不断遭到隔离与蔑视的犹太人。那些狂热的鞭挞者所到之处,总会对本地的犹太社团形成扑灭性的冲击,他们在自我鞭挞的同时,仍然呵斥犹太人的罪恶。许多处所都思疑是本地的犹太人团体亡我之心不死,在井水或河流中投毒,认为瘟疫的蔓延就是犹太人一手形成的大阴谋。
医治、隔离与社会重建:教会与政府的应急办法
在黑死病蔓延期间,以上帝教会为代表的社会组织和各个处所政府采纳了种种办法避免疾病的蔓延,固然此中许多宗教仪式以我们今天的目光看来显得荒谬不经,但在阿谁时代对不变人心十分有效。好比,其时英国的主教们要求人们在每周三和周五的补赎日停止集体光脚游行,要禁食祷告,在一切空闲时间多念诵《上帝经》和《圣母经》。

手本画中描画身患黑死病的人
做为社会运行的核心力量,教会在各地设立病院,供给日常医疗办事。14世纪的英国在公共卫生办事方面能够说走在了各大中古国度的前列,固然全国只要大约400万生齿,却有600多家病院。当然,那些病院次要也是由教会的神父、隐修士和修女们组织起来的救护所,无法供给现代意义上的治疗,更多只是予以根本的赐顾帮衬和清洁。同时,一些主教也开放本身所辖的教堂,使那些尚未传染的人有出亡之所,并接济他们的生活。

在教会病院领受圣事
中世纪期间医学的开展也遭到了黑死病的鞭策。其时的医生数量很少,且大都都不外是夸夸其谈,以萨莱诺为中心的医学研究从12世纪以来就享有盛誉,从1215年前后,医生成为了遭到教会承认的行业,并成立了本身的职业行会,却始末未能实正成立起医学治疗的科学系统。因而,民间力量再次凸显。

在教会病院承受治疗
起首是一批带有外科医生色彩的剃头师,其次是一批游方郎中色彩的魔术师一样的治疗者。许多常识阶层的人都认为,人体的病症和瘟疫的蔓延与天文现象有关,而疾病的治疗次要采纳放血疗法和熬造草药。好比,牛津大学的莫城的杰弗里(Geoffrey de Meaux)专门撰写了《瘟疫的星相学原因》一文,以“按照本身的见解和医学常识,给出得当的弥补办法”。在颠末一大通火星、木星、土星会聚在水瓶座使瘟疫发作的论证之后,他所提出的处理计划次要是尽可能生活在田野之处、在密闭空间燃烧乳香、少吃动物的肉、多食用蔬菜生果、不要随意洗澡、更要不准房事等办法。
在其时由世俗政府所主导的办法中,最次要的一条就是限造生齿活动。欧洲许多城镇在瘟疫降临之时告急订立法令规条,严酷限造受传染严峻地域的人群向其他地域迁徙。在一些海港城市以及商贸要地,政府会专门调派武拆人员停止拦截,以至对试图逃出疫区的人当场处死。好比在意大利黑死病流行期间,皮斯托亚要求所有颠末重点疫区及其周边地域的生齿或者船只、货物都不允许进入该城。皮斯托亚的居民也不准分开,尤其是不得进入疫区及周边地域,出格是比萨和卢卡等受瘟疫影响最严峻的处所。如因告急要求,必需要进入或颠末那些地域的,只要在市政厅获取通行答应才气够出行。
隔离的政策在中世纪期间也十分流行,威尼斯做为港口城市,人员来往复杂,所以最早设立了隔离法。在1348年,威尼斯市政厅为包管本地居民的平安和商业,所有抵达威尼斯的船只和船员必需在指定地点隔离四十天,确认无过后方可在周边停止交易。威尼斯政府有权制止任何可疑的船只、货物或小我进入所辖地域。到1403年,威尼斯在纳匝勒的玛丽亚岛上成立了拉撒路病院,那很可能是人类汗青上最早的一个隔离病院。

威尼斯的隔离区:成立隔离点拉撒路病院的纳匝勒的玛丽亚岛
1374年,米兰大公也对米兰城中的瘟疫情况做出指令,要求所有受瘟疫传染的人必需分开城市,到指定的丛林郊野地域生活,不断比及那些人痊愈,或者,灭亡。到1377年,米兰人又将拉古萨指定为隔离区,但凡从“疫区”回来的人都必需在那里生活一个月,颠末“阳光与风的净化”后,才能够进入米兰。
世俗政府是瘟疫期间维护社会不变和促进社会重建的次要力量,世俗政权面临瘟疫的救助功用首要表现在减免税收上。好比在英国,因为大量劳动力的丧失,使国王和各地领主不能不降低税率,以减轻生齿恢复和经济苏醒期间的经济承担。其次,世俗政权在维护社会次序方面也起到了很高文用。在瘟疫期间,许多人出于求生的本能而四处奔逃,很容易形成瘟疫的快速蔓延。在英国和意大利等地,国王与执政官们都制止生齿在未经答应的情况下迁徙。此外,因为城市中的生齿聚居使灭亡人数浩瀚,招致本来为城市供给粮食的周边农人回绝进入城市输送粮食,那也需要世俗政权加以协调和武力强迫。最初,为了恢复经济,世俗政权也不能不采纳强力办法,保障复工和经济不变。那一点在英国表现得尤其明显。因为黑死病形成了大量劳动力丧失,从某种角度来说促进了欧洲汗青上的一次严重的“城镇化”运动。雇佣劳工往往囤积居奇,从一地活动到一地以换取更好的劳动待遇。为了限造那些劳工的工资上涨,英国国王爱德华三世在1349年颁布了《劳工法令》,要求所有安康的劳动者必需处置劳动,工钱只能以1346年的付出尺度为原则,且劳动契约不得短于6个月。

爱德华三世的大印复造图
但有的时候,灭亡也并不是人类末极平等的标尺。以英国各个社会阶层为例,教士阶层是灭亡率更高的群体,一般统计到达45%。因为他们往往要对受传染者停止末傅圣事,为患病者祷告,主持各类礼节活动,因而最容易遭到传染而逝世。许多修道院的纪年史对黑死病期间的记录往往戛然而行,原因无外乎整座隐修院里的人都死光了。一般公众的灭亡率也高达40%,尤其是城市生齿。因为城镇生齿密度较大,卫生前提较差,穿插传染时机增加。相对而言,经济较为富有的大领主的灭亡率则在27%摆布,因为他们往往都出亡栖身在乡间城堡中。
毋庸置疑,旷日耐久的瘟疫关于其时欧洲同一的核心收柱上帝教会也形成了严重影响。人们看到许多达官权贵、高级教士身染沉痾,许多大主教、主教、公爵、侯爵在生病及身后尸体敏捷腐朽发臭,那都与信寡心中的等待大不不异。因为《信经》中鼓吹的是“肉身之新生”,败北发臭的肉身却是深陷天堂确实凿标记。大量教士阶层的灭亡使人们起头对教会的神圣力量产生了思疑,而教会在那个期间里通过葬礼和大赦的买卖,也引发了无数的锋利攻讦。跟着大量教士的灭亡,教会也不能不选择一些未必称职的人填充到教士步队傍边,那也形成了欧洲教士阶层整体量量的迅猛下降。从那个角度来说,黑死病做为无不同的死神,打碎了欧洲中世纪盛期逐步构成的看似坚不成摧的社会品级碉堡,一切的岁月静好都在死神的怒吼中摇摇欲坠,灭亡之舞在欧洲大陆上扭捏震撼……